Un brutal caso de violencia se conoció en las últimas horas en la ciudad de Mar del Plata, donde un anciano de 89 años con Alzheimer fue golpeado en un geriátrico tras negarse a tomar una medicación.
Según pudo reconstruir Infobae, el hecho tuvo lugar el pasado martes 9 de diciembre en el geriátrico Posada Punta Mogotes, ubicado en General Pacheco 2105.
Ese día, una vecina se acercó al establecimiento para visitar a su abuelo Héctor Salas, quien padece Alzheimer, tiene disminución auditiva y está perdiendo la vista. Al llegar, lo encontró golpeado, con visibles lesiones en el rostro y en los brazos.
“Él se negó a tomar una medicación y ella (la dueña del geriátrico) fue y le pegó. Según ella, dijo que le pegó porque le agarró un brote psicótico”, comenzó denunciando en redes sociales Karen Salas, nieta de la víctima.
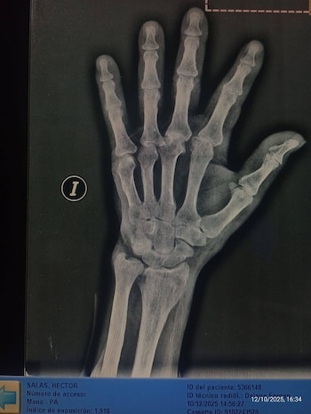
En su publicación de Facebook, no solo adjuntó imágenes de su abuelo golpeado, sino también el video de las cámaras privadas del establecimiento, donde puede verse la secuencia de la agresión, además de las radiografías que debió realizarse tras el ataque.
Según precisó, la familia del residente ya realizó la denuncia policial correspondiente. En tanto, Héctor fue retirado del geriátrico y trasladado a otro establecimiento.
“Mis primas fueron a visitarlo y notaron que tenía algunas lesiones. En las manos, en los ojos y en la boca”, explicaron desde el entorno de la familia de la víctima, en diálogo con el medio marplatense 0223.
En las imágenes que acompañan esta nota se distinguen con claridad lesiones violetas debajo de la boca.
De acuerdo con la familia del anciano, en un control médico que solicitaron las nietas se constataron fracturas en la mano derecha -en particular, en el dedo pulgar- y heridas en el rostro del hombre. “Están en un estado de vulnerabilidad terrible, sin nadie que los proteja”, lamentaron, al respecto del episodio.

“La señora que lo golpeó nos dijo que tuvo un brote psicótico, no quería tomar la medicación y por eso le pegó repetidas veces”, refirieron al medio local. Y agregaron: “Le podía haber dado la pastilla disuelta en la comida o en la bebida, no sé”.
El primer video adjunto en esta nota es un recorte con zoom realizado sobre las imágenes de las cámaras de seguridad del geriátrico, que muestran una sala de estar con varios ancianos. En el centro de la escena aparece la víctima, rodeada por quienes serían enfermeras o empleadas del establecimiento.
La disposición de las personas alrededor de Héctor impide advertir con precisión qué sucede en ese momento, aunque se alcanza a percibir una situación de tensión en la que habría sido golpeado.

En el segundo registro, correspondiente a la misma secuencia, pero con un plano más abierto, se lo ve ubicado en una esquina del ambiente. De pronto, varias empleadas —por lo menos cuatro— se le acercan y comienzan a rodearlo, dando inicio a la secuencia que la familia señala como el episodio de agresión.
Entrevistado por su propia familia, en otro video que su nieta publicó en redes sociales, Héctor señaló que durante el episodio varias personas lo tenían sostenido de las manos: “Qué bochinche que se armó, che. Yo vine a pagar sin querer. Se armó la joda y yo también pagué”.

Luego, al ser consultado sobre por qué no le avisó del episodio a sus nietas, responde: “¿Qué te voy a avisar? No podía. Me quiero ir a la mierda, me quiero ir ahora mismo".
“Esto fue sin querer, pero yo pagué como si fuera una persona que estaba en el problema”, lamentó hacia el final.
Últimas Noticias
Apareció con vida la policía que había desaparecido en Chubut
El hallazgo de María José San Martín se produjo en una zona rural. La mujer fue asistida por personal especializado y trasladada a un hospital para su recuperación. La Justicia investiga el hecho

Tragedia en Mar del Plata: se incendió un geriátrico y murieron tres mujeres
Las víctimas tenían entre 80 y 95 años. Una residente, de 79, está internada en grave estado. Además, 13 policías debieron ser trasladados de urgencia con síntomas de intoxicación

Hallaron muerto a un suboficial del Ejército en un cuartel de Corrientes
La Justicia abrió una investigación para determinar las causas del deceso. “Asumí para hacerme cargo de estas tristes situaciones”, dijo el ministro Carlos Presti

“Apasionada de la industria de los casinos”: quién es la madre acusada de estafar a egresados que pidió la eximición de prisión
Mediante su abogado, este martes Romina Enríquez (42) presentó un informe psiquiátrico en el cual consta que le indicaron reposo médico. El perfil ludópata que complica su situación

Cómo sigue el caso del soldado hallado muerto en la Quinta de Olivos
El cuerpo del joven militar de 21 años será sometido hoy a la autopsia en la Morgue Judicial. Su familia se presentó ante la jueza Sandra Arroyo Salgado. Todo apunta a un suicidio



